Icona app
Leggi TPI direttamente dalla nostra app: facile, veloce e senza pubblicità
Installa
Banner abbonamento
Cerca
Ultimo aggiornamento ore 12:08
Immagine autore
Gambino
Immagine autore
Telese
Immagine autore
Mentana
Immagine autore
Revelli
Immagine autore
Stille
Immagine autore
Urbinati
Immagine autore
Dimassi
Immagine autore
Cavalli
Immagine autore
Antonellis
Immagine autore
Serafini
Immagine autore
Bocca
Immagine autore
Sabelli Fioretti
Immagine autore
Guida Bardi
Home » Esteri

Australia, soffre di mal di testa per 7 anni: i medici trovano una ciste piena di larve nel cervello

Immagine di copertina
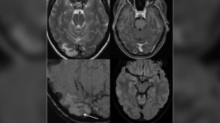
La risonanza magnetica mostra le cisti e le larve nel cervello della donna. Credit: The American Journal of Tropical Medicine and Hygiene / CNN

Soffre di mal di testa per sette anni: i medici trovano una ciste piena di vermi nel cervello

Erano i vermi la causa dei forti mal di testa di cui soffriva la ragazza australiana da ben sette anni. Dopo continue e inutili terapie, i medici sono infatti riusciti a individuare che cosa causasse le emicranie dolorose e la vista offuscata alla giovane 25enne. Il caso è stato riportato sull’American Journal of Tropical Medicine and Hygiene ed è il primo nel Paese.

La donna accusava forti mal di testa due o tre volte al mese che curava con farmaci prescritti per l’emicrania. Tuttavia, il suo ultimo mal di testa è durato più di una settimana e si è manifestato con sintomi più gravi, incluso l’offuscamento della vista. Una risonanza magnetica del cervello ha portato i medici a credere che potesse essere un tumore la causa del suo dolore, ma dopo aver operato e rimosso la lesione, hanno scoperto che in realtà si trattava di una cisti piena di larve di tenia.

Questa condizione è nota come neurocisticercosi – l’infestazione del sistema nervoso centrale da parte degli stadi larvali, o cisticerchi, di Taenia solium –  che può causare sintomi neurologici quando si sviluppano cisti larvali nel cervello. Il parassita viene comunemente trasmesso consumando carne di maiale poco cotta o entrando in contatto con cibo, acqua e terreno contaminati da uova di tenia. La 25enne, che lavorava come barista, era considerata a rischio nullo o molto basso di infezione da larve di tenia, ma si ritiene che in qualche modo avesse ingerito accidentalmente uova di tenia. La migliore linea di difesa contro un’infezione simile è quella di cuocere la carne a temperature di sicurezza, lavarsi le mani con sapone prima dei pasti e mangiare solo cibo cucinato in condizioni igieniche.

Leggi anche: 1. Ameba mangia cervello: cosa è, dove si trova e come si cura il parassita; // 2. Bambino di 6 anni muore per un’ameba mangia-cervello che infesta la rete idrica del Texas; // 3. Ecco cosa succede al cervello di chi si lamenta in continuazione
Ti potrebbe interessare
Esteri / La Russia mostra i muscoli: Putin vola in Cina e Mosca annuncia tre giorni di esercitazioni nucleari
Esteri / Trump sospende l’attacco Usa all’Iran su richiesta dei Paesi del Golfo: “I negoziati sono seri ma siamo pronti a colpire”
Esteri / Individuati i corpi dei quattro sub italiani morti alle Maldive: "Si trovano nel terzo segmento della grotta"
Ti potrebbe interessare
Esteri / La Russia mostra i muscoli: Putin vola in Cina e Mosca annuncia tre giorni di esercitazioni nucleari
Esteri / Trump sospende l’attacco Usa all’Iran su richiesta dei Paesi del Golfo: “I negoziati sono seri ma siamo pronti a colpire”
Esteri / Individuati i corpi dei quattro sub italiani morti alle Maldive: "Si trovano nel terzo segmento della grotta"
Esteri / Pedro Sanchez difende Lamine Yamal dagli attacchi del governo israeliano: “Ha solo espresso solidarietà alla Palestina”
Esteri / "Così Israele ha sfruttato l’Eurovision per ripulire la propria immagine": l'inchiesta del New York Times
Esteri / Perdita di orientamento, tossicità nelle bombole o panico: le ipotesi sulla morte dei sub italiani
Esteri / Draghi: “L’Europa va rifondata. Per la prima volta siamo soli”
Esteri / Tribunale Usa sospende le sanzioni inflitte a Francesca Albanese dall’amministrazione Trump
Esteri / Un americano su quattro non crede alla sparatoria durante la cena dei corrispondenti della Casa Bianca
Esteri / Israele istituisce il Tribunale speciale per i crimini del 7 ottobre: prevista anche la pena di morte