Icona app
Leggi TPI direttamente dalla nostra app: facile, veloce e senza pubblicità
Installa
Banner abbonamento
Cerca
Ultimo aggiornamento ore 22:37
Immagine autore
Gambino
Immagine autore
Telese
Immagine autore
Mentana
Immagine autore
Revelli
Immagine autore
Stille
Immagine autore
Urbinati
Immagine autore
Dimassi
Immagine autore
Cavalli
Immagine autore
Antonellis
Immagine autore
Serafini
Immagine autore
Bocca
Immagine autore
Sabelli Fioretti
Immagine autore
Guida Bardi
Home » Cronaca

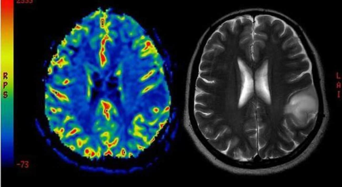
Tumore al cervello, scoperta una proteina legata all’Alzheimer che può bloccarlo

Immagine di copertina

Una ricerca internazionale ha scoperto una proteina associata al morbo di Alzheimer in grado di contrastare i gliomi, tra i tumori celebrali più letali

Tumore al cervello, scoperta una proteina legata all’Alzheimer che può bloccarlo

Una straordinaria ricerca potrebbe dare preziosi frutti nella lotta al tumore al cervello. Esisterebbe infatti un modo per frenare l’avanzamento delle forme più letali di questa tremenda malattia. Secondo i giovani autori della scoperta, i ricercatori spagnoli dell’Instituto de Salud Carlos III (ISCIII), il segreto starebbe nella proteina TAU, fra le cause di alcune patologie neurodegenerative come l’Alzheimer.

In particolare questa proteina riuscirebbe a frenare l’aggressività dei gliomi, rari tumori maligni del cervello che possono trasformarsi nei più letali glioblastomi. Si tratta di tumori che sono particolarmente resistenti alla chemioterapia e ad altre terapie convenzionali, tanto da portare al decesso del paziente entro 15 mesi.

L’importante scoperta che la proteina tau può bloccare l’aggressività di questi tumori permetterà agli scienziati di trovare dei farmaci capaci di limitarne l’azione e quindi poter combattere il cancro. La ricerca, pubblicata sulla rivista Science Translational Medicine, ha quindi dimostrato che la proteina TAU si ritrova anche nelle cellule dei gliomi, dove reprimerebbe la loro capacità di creare nuovi vasi sanguigni, fondamentali per rifornirsi di nutrienti, favorendo la crescita e l’aggressività del tumore.

Gli scienziati, coordinati dal professor Ricardo Gargini, biologo molecolare di origine argentina dell’Unità di Neuro-oncologia presso l’istituto madrileno, sono giunti alla loro conclusione dopo aver condotto esperimenti su tessuto cerebrale umano in vitro e modelli murini (topi) con cancro al cervello.

Ricardo Gargini, principale firma dello studio, ha confessato a El País: “Crediamo che Tau sia la chiave fra Alzheimer e cancro”. Il merito della scoperta va principalmente ai ricercatori dell’ISCIII Beatriz Heranz, Esther Hernández, Rafael Hortigüela, Pilar Sánchez Gómez, Ricardo Gargini, Berta Segura-Collar, Teresa Cejalvo e Andrés Romero Bravo.

Lo studio è stato però realizzato in collaborazione con il Centro di Investigazione Biomedica del Red di Malattie Neurodegenerative (CIBERNED), dell’Associazione Spagnola contro il Cancro (AECC), del Centro di Biologia Molecolare del CSIS e dell’Ospedale 12 Ottobre, integrati nell’Istituto di Ricerca Sanitaria i+12 di Madrid. Il progetto è stato finanziato dal Ministero dell’Economia e della Competitività, dell’Associazione Spagnola contro il Cancro e del NIH (Istituto Nazionale di Salute).

Leggi anche:
Scoperta una cellula del nostro sistema immunitario che potrebbe curare ogni tipo di cancro
Ti potrebbe interessare
Ambiente / È uscito il nuovo numero di The Post Internazionale. Da oggi potete acquistare la copia digitale
Cronaca / WhatsApp down: l’app non funziona, segnalati diversi problemi. Cosa è successo
Cronaca / Busitalia (Gruppo FS) accompagna gli atleti olimpici di Milano-Cortina 2026 al Quirinale
Ti potrebbe interessare
Ambiente / È uscito il nuovo numero di The Post Internazionale. Da oggi potete acquistare la copia digitale
Cronaca / WhatsApp down: l’app non funziona, segnalati diversi problemi. Cosa è successo
Cronaca / Busitalia (Gruppo FS) accompagna gli atleti olimpici di Milano-Cortina 2026 al Quirinale
Cronaca / Fano, 21enne accoltella genitori e fratellino: “Volevo farlo da tempo”
Cronaca / Pasquetta 2026: supermercati e negozi aperti o chiusi in Italia. Info e orari
Cronaca / Pasqua 2026: supermercati e negozi aperti o chiusi in Italia. Info e orari
Cronaca / Illegittimi i rincari degli abbonamenti di Netflix. La società annuncia ricorso
Cronaca / Gruppo FS, circa 28 milioni di persone in viaggio a Pasqua e nei ponti primaverili
Cronaca / È morto il giornalista Roberto Arditti, ex direttore de “Il Tempo”: aveva 60 anni
Cronaca / L’ultimo carico di cherosene per l'Europa arriva il 9 aprile: migliaia di voli a rischio cancellazione