Icona app
Leggi TPI direttamente dalla nostra app: facile, veloce e senza pubblicità
Installa
Banner abbonamento
Cerca
Ultimo aggiornamento ore 11:43
Immagine autore
Gambino
Immagine autore
Telese
Immagine autore
Mentana
Immagine autore
Revelli
Immagine autore
Stille
Immagine autore
Urbinati
Immagine autore
Dimassi
Immagine autore
Cavalli
Immagine autore
Antonellis
Immagine autore
Serafini
Immagine autore
Bocca
Immagine autore
Sabelli Fioretti
Immagine autore
Guida Bardi
Home » Cronaca

La violenza sulle donne ai raggi X: le radiografie shock in mostra a Milano

Immagine di copertina
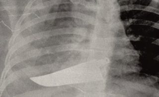
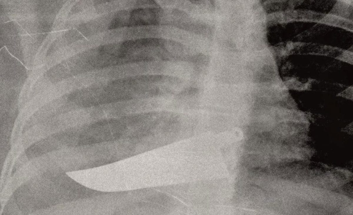
Una delle radiografie in mostra Credit: San Carlo di Milano

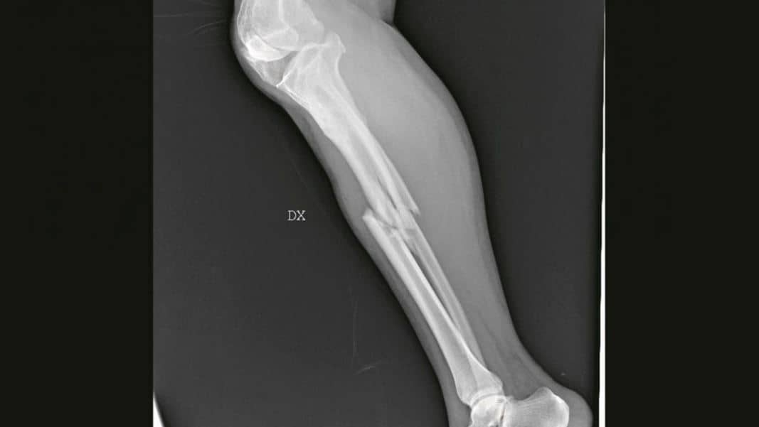
Da pugnali conficcati nell'addome a ossa rotte: la violenza sulle donne appare senza filtri nelle radiografie in mostra a Milano

Contro la violenza sulle donne una mostra di radiografie

La forza delle immagini contro la violenza sulle donne: una raccolta di foto e radiografie anonime raffigurano la parte più profonda delle vittime di violenza, quella che è stata ferita. Sono le immagini esposte nel rispetto dell’anonimato per scuotere le coscienze sul fenomeno in una mostra che verrà allestita nell’ospedale San Carlo di Milano, da giovedì 21 novembre a domenica 8 dicembre.

Una mostra estrema e tragica, organizzata per la Giornata contro al violenza sulle donne del 25 novembre, insieme alla Fondazione Pangea, che sarà inaugurata oggi nell’atrio dell’ospedale San Carlo.

L’ideatrice della mostra di sensibilizzazione è la chirurga Maria Grazie Vantadori: “Le donne, spesso, non hanno la forza di raccontare. Ma i corpi e le lesioni parlano per loro, rivelano vertigini di orrore quotidiano. Per questo ho deciso di mostrare la violenza domestica come la vediamo noi al pronto soccorso: ossa rotte, nasi spaccati, occhi pesti, mani fratturate, polsi slogati, gambe rotte, coltellate, bruciature, morsi, segni di strangolamento, ferite da torture con pezzi di vetro. O addirittura un pugnale nella schiena. Lo scenario di una guerra nascosta nelle mura di casa che i numeri non riescono a raccontare”.

L’idea nasce dall’esperienza del Casd — il Centro ascolto soccorso donna dell’ospedale San Carlo — e dall’arte della fotografa Marzia Bianchi, collaboratrice di Pangea-Reama, che proprio ispirandosi alle parole delle donne accolte dallo Sportello antiviolenza online di Reama ha trasformato la narrazione in immagini.

I corpi martoriati rivelano la brutalità delle azioni nei confronti delle donne. Fino all’estremo di una donna arrivata al San Carlo con un pugnale conficcato nella schiena. “Sì, quella donna è sopravvissuta, anzi una sopravvissuta. Perché la sfida del nostro centro – dice la chirurga che ha deciso di esporre le radiografie – è non solo soccorrere, ma anche aiutare le pazienti a uscire da quella schiavitù. Chi le accoglie deve saper decodificare i loro silenzi, comprendere quelle le lesioni incompatibili con quanto le donne narrano”.

Una mostra dura ma emblematica.. Perché è soltanto trovando una rete che si può uscire da prigioni come quelle che raccontano (o troppo spesso non raccontano) le donne che arrivano nei pronto soccorso.

Leggi anche:
Violenza sulle donne, il Cdm approva il “codice rosso”: il testo passa alle Camere
SPECIALE: La violenza sulle donne in Italia e nel mondo
Ti potrebbe interessare
Cronaca / Un anno senza Francesco, la storia di Don Andrea: “Così ho portato gli ultimi a incontrare il Papa”
Cronaca / Fs Logistix: al via il primo “smart train” tra Milano e Catania
Ambiente / È uscito il nuovo numero di The Post Internazionale. Da oggi potete acquistare la copia digitale
Ti potrebbe interessare
Cronaca / Un anno senza Francesco, la storia di Don Andrea: “Così ho portato gli ultimi a incontrare il Papa”
Cronaca / Fs Logistix: al via il primo “smart train” tra Milano e Catania
Ambiente / È uscito il nuovo numero di The Post Internazionale. Da oggi potete acquistare la copia digitale
Cronaca / WhatsApp down: l’app non funziona, segnalati diversi problemi. Cosa è successo
Cronaca / Busitalia (Gruppo FS) accompagna gli atleti olimpici di Milano-Cortina 2026 al Quirinale
Cronaca / Fano, 21enne accoltella genitori e fratellino: “Volevo farlo da tempo”
Cronaca / Pasquetta 2026: supermercati e negozi aperti o chiusi in Italia. Info e orari
Cronaca / Pasqua 2026: supermercati e negozi aperti o chiusi in Italia. Info e orari
Cronaca / Illegittimi i rincari degli abbonamenti di Netflix. La società annuncia ricorso
Cronaca / Gruppo FS, circa 28 milioni di persone in viaggio a Pasqua e nei ponti primaverili