Icona app
Leggi TPI direttamente dalla nostra app: facile, veloce e senza pubblicità
Installa
Banner abbonamento
Cerca
Ultimo aggiornamento ore 04:31
Immagine autore
Gambino
Immagine autore
Telese
Immagine autore
Mentana
Immagine autore
Revelli
Immagine autore
Stille
Immagine autore
Urbinati
Immagine autore
Dimassi
Immagine autore
Cavalli
Immagine autore
Antonellis
Immagine autore
Serafini
Immagine autore
Bocca
Immagine autore
Sabelli Fioretti
Immagine autore
Guida Bardi
Home » Esteri

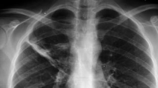
Tosse e febbre per mesi: curata per tubercolosi, ma aveva un preservativo nei polmoni

Immagine di copertina

Una donna di 27 anni è stata curata per mesi con farmaci anti-tubercolosi, con scarsi risultati, salvo poi scoprire di avere un preservativo incastrato nei polmoni. No, non è una bufala. A riportare l’episodio è stato il portale National Library of Medicine. Un caso limite ma, a quanto pare, possibile che è stato quindi descritto in maniera dettagliata sul portale online della più grande biblioteca medica al mondo.

Secondo quanto riportato, la donna si è presentata in ospedale con tosse e febbre accusando un muco denso e persistente da mesi. Dopo antibiotici e trattamenti anti-tubercolosi, la 27enne si è rivolta di nuovo ai medici. Un attento esame del torace e una radiografia hanno permesso di individuare una lesione nel lobo superiore destro dei suoi polmoni, che, descrivono i medici, sembrava simile a una “borsa rovesciata” seduta “nel bronco”. Solo un’operazione di rimozione della misteriosa “borsa” ha però potuto svelare cosa fosse l’oggetto che causava la lesione: un preservativo.

Increduli, i medici hanno quindi fatto alcune domande alla donna e al marito: i due, si legge nel documento medico, hanno “ammesso di aver avuto un rapporto” e di ricordare che “il preservativo si era allentato durante l’atto che la signora aveva avuto in quell’occasione un episodio di tosse o starnuto”. Ora la donna sta bene.

Ti potrebbe interessare
Esteri / La protesta di Nemo, vincitore dell'Eurovision 2024: "Restituisco il trofeo per la mancata esclusione di Israele"
Esteri / Eileen Higgins è la nuova sindaca di Miami: è la prima volta di una Democratica dal 1997
Esteri / L'Australia è il primo paese al mondo a vietare i social agli under 16
Ti potrebbe interessare
Esteri / La protesta di Nemo, vincitore dell'Eurovision 2024: "Restituisco il trofeo per la mancata esclusione di Israele"
Esteri / Eileen Higgins è la nuova sindaca di Miami: è la prima volta di una Democratica dal 1997
Esteri / L'Australia è il primo paese al mondo a vietare i social agli under 16
Esteri / Elena Basile a TPI: “La guerra ha ridotto l’Europa al vassallaggio. Bisogna rifondare l’Ue”
Esteri / Terre rare e altre materie critiche: la pistola della Cina puntata alla testa degli Stati Uniti
Esteri / Sudan Connection: la geopolitica del massacro tra oro, armi e interessi internazionali
Esteri / L’esperta del Gruppo di Lavoro Onu contro le Sparizioni Forzate Aua Baldé a TPI: “Le vittime registrate in Sudan non sono nemmeno la punta dell’iceberg”
Esteri / Il genocidio in Sudan di cui non parla nessuno
Esteri / La corsa della Cina alla supremazia tecnologica globale
Esteri / Il direttore del programma di Emergency in Sudan, Matteo D’Alonzo, a TPI: “Si combatte di casa in casa, persino tra familiari. E anche con i droni”