Icona app
Leggi TPI direttamente dalla nostra app: facile, veloce e senza pubblicità
Installa
Banner abbonamento
Cerca
Ultimo aggiornamento ore 15:16
Immagine autore
Gambino
Immagine autore
Telese
Immagine autore
Mentana
Immagine autore
Revelli
Immagine autore
Stille
Immagine autore
Urbinati
Immagine autore
Dimassi
Immagine autore
Cavalli
Immagine autore
Antonellis
Immagine autore
Serafini
Immagine autore
Bocca
Immagine autore
Sabelli Fioretti
Immagine autore
Guida Bardi
Home » Esteri

Vive per 17 anni con il feto del gemello dentro di sé senza saperlo

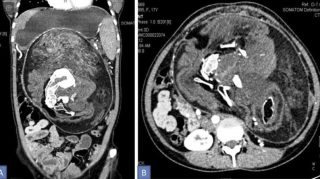
Immagine di copertina
Una TAC del feto trovata nell'addome della donna Credit: Kumar, et al (BMJ Case Reports)

Una ragazza per 17 anni ha portato il feto del suo fratello gemello dentro di sé

Si tratta di uno dei rarissimi casi di fetus in fetu, quello registrato in India, dove una ragazza per 17 anni ha vissuto con il feto gemello nel suo stesso corpo, senza accorgersene. Come si legge sui media, la giovane donna ha vissuto per quasi due decenni con una delle condizioni mediche più rare e inquietanti esistenti.

Il caso della donna è stato reso noto la scorsa settimana: l’inquietante scoperta è stata fatta in seguito a una ecografia condotta sull’addome della giovane. Dentro la 17enne si trovava una sorta di sacca in cui cresceva il “gemello”. Questo feto, secondo i media, aveva i capelli, i denti e persino la colonna vertebrale.

Il caso rarissimo si verifica quando un gemello fetale assorbe l’altro durante la fase iniziale della gravidanza. Il feto non sviluppa il proprio sistema nervoso, ma di fatto è in grado di rimanere in vita.

Vive, il feto, diventando di fatto il parassita del fratello. Secondo alcuni studi, invece, il secondo feto altro non sarebbe che una forma complessa di tumore, il teratoma. In ogni caso, di solito questa condizione termina con un aborto, perché il fratello sviluppato non è in grado di garantire il giusto sostentamento del feto.

In alcuni rari casi, il secondo feto può sopravvivere ma viene presto individuato dai medici, subito dopo la nascita o durante l’infanzia. In tutto sono stati contati solo altre sette casi di adulti con in grembo il secondo feto.

La scoperta

L’inquietante esperienza della donna è stata raccontata dai suoi medici alla BMJ Case Reports. La ragazza aveva iniziato a insospettirsi quando sul suo addome aveva visto spuntare una sorta di nodulo duro. Negli anni a venire quel nodulo era cresciuto, tanto da provocare dolore. Quando finalmente la ragazza è stata visitata, all’inizio si era pensato a un tumore. Dalla TAC sul nodulo, però, è venuto fuori che c’erano depositi di calcio che sembravano avere “la forma di vertebre, costole e ossa lunghe”.

A quel punto i medici capirono di cosa si trattava, procedendo a eliminarlo. Il feto era grande 36 x 16 x 10 centimetri, il più evoluto tra tutti i casi fino a oggi registrati. Il feto è stato subito rimosso e la 17enne si è ripresa rapidamente. Purtroppo, però, i medici non sono stati in grado di estrarre tutte le parti del feto. Alcune tracce sono rimaste all’interno della paziente. Secondo i medici esiste la remota possibilità che queste cellule crescano senza controllo, ma i continui controlli sulla ragazza eviteranno conseguenze importanti.

È nata una bambina che aveva in grembo il feto della sua gemella: il fenomeno della gemella parassita
Ti potrebbe interessare
Esteri / Vance consiglia a Papa Leone di essere "molto cauto quando parla di questioni di teologia"
Esteri / L’Italia ha sospeso il rinnovo del memorandum d’Intesa militare con Israele
Esteri / Trump contro Meloni, Schlein: "Ferma condanna per attacco alla premier". Renzi: "Scaricata dal suo guru"
Ti potrebbe interessare
Esteri / Vance consiglia a Papa Leone di essere "molto cauto quando parla di questioni di teologia"
Esteri / L’Italia ha sospeso il rinnovo del memorandum d’Intesa militare con Israele
Esteri / Trump contro Meloni, Schlein: "Ferma condanna per attacco alla premier". Renzi: "Scaricata dal suo guru"
Esteri / Trump contro Meloni: “Scioccato dalla premier, pensavo avesse coraggio”. Poi attacca ancora il Papa: “Dovrebbe tacere sulla guerra in Iran, non capisce”
Esteri / Trump nega incredibilmente di essersi paragonato a Gesù: "Ero ritratto come medico"
Esteri / Vance attacca il Papa: "Il Vaticano dovrebbe attenersi alle questioni morali"
Esteri / Non solo il violento attacco a Papa Leone XIV: Trump si raffigura come Gesù sui social
Esteri / I colloqui falliti, l'annunciato blocco di Hormuz e il Libano in fiamme: la tregua tra Usa e Iran sempre più in bilico
Esteri / Trump attacca Papa Leone: “È un debole ed è pessimo sulla politica estera”. La replica di Prevost: “Non ho paura di lui”
Esteri / Stop ai colloqui USA-Iran a Islamabad, Vance: “Non abbiamo raggiunto un accordo”. Teheran: “Proposte irricevibili”