Icona app
Leggi TPI direttamente dalla nostra app: facile, veloce e senza pubblicità
Installa
Banner abbonamento
Cerca
Ultimo aggiornamento ore 08:01
Immagine autore
Gambino
Immagine autore
Telese
Immagine autore
Mentana
Immagine autore
Revelli
Immagine autore
Stille
Immagine autore
Urbinati
Immagine autore
Dimassi
Immagine autore
Cavalli
Immagine autore
Antonellis
Immagine autore
Serafini
Immagine autore
Bocca
Immagine autore
Sabelli Fioretti
Immagine autore
Guida Bardi
Home » Salute

Cosa accade quando si trattiene uno starnuto

Immagine di copertina

Gli esperti della Saint Louis University School of Medicine hanno spiegato le terribili conseguenze di contrarre o sopprimere uno starnuto

Alcune persone possono provare vergogna nello starnutire di fronte ad altre e questo sentimento le induce a inibire gli starnuti, o a sopprimerli completamente.

Questa notizia puoi leggerla direttamente sul tuo Messenger di Facebook. Ecco come

Questa pratica però è molto più pericolosa di quanto possa sembrare e gli esperti della Saint Louis University School of Medicine degli Stati Uniti la sconsigliano con decisione: “Fermare lo starnuto bloccando le narici e la bocca è una manovra pericolosa e va evitata”.

Bloccare uno starnuto può infatti “portare a numerosi complicazioni come lo pneumomediastino, la perforazione della membrana timpanica e persino la rottura di un aneurisma cerebrale”, aggiunge uno studio pubblicato sulla rivista medica BMJ.

I medici della Saint Louis ne hanno avuto prova studiando il caso di un ragazzo britannico giunto in ospedale a causa di uno starnuto trattenuto.

Quando il ragazzo arrivò in ospedale fu immediatamente visitato e fu notata una profonda fessura al torace.

L’uomo aveva la faringe spaccata e un buco nella zona in cui questa si collega con l’esofago, il suo corpo presentava inoltre delle bolle d’aria tra il tessuto della pelle.


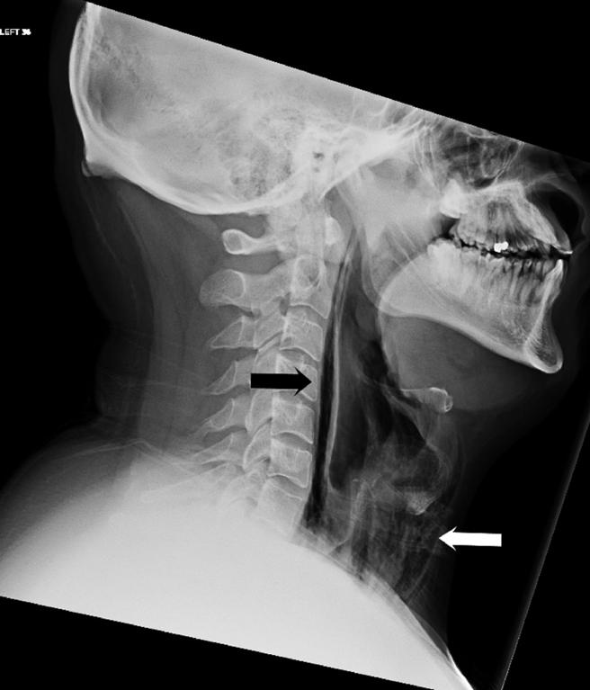
La radiografia a raggi infrarossi della zona retrofaringea. Credit: British Medical Journal

A causa della rottura della faringe, il paziente rimase in ospedale per diversi giorni, nutrendosi attraverso un tubo.

Solo dopo due mesi riuscì a tornare a masticare autonomamente.

Una rottura di questo tipo è più comune dopo un forte trauma al collo ma, nonostante sia rara, si verifica anche quando si vomita, si tossisce, o proprio quando si trattiene uno starnuto.

Una delle grandi difficoltà di questo patologia è che, essendo molto rara, di solito è difficile da diagnosticare e quindi curare.

“Non raccomanderei di sopprimere uno starnuto in alcun modo, né pizzicando il naso, né trattenendolo con la gola”, ha detto Alan Wild, chirurgo e assistente di otorinolaringoiatria alla Saint Louis University School of Medicine.

“Strofinare il naso, respirare con forza attraverso il naso o premere sul labbro superiore sotto il naso può alleviare la voglia di starnutire, ma una volta che lo starnuto inizia, è preferibile lasciarlo andare”, sostiene il dottor Wild.

Uno starnuto bloccato potrebbe: causare lesioni al diaframma, rompere un vaso sanguigno negli occhi, causare veri e propri lividi nella superficie bianca attorno all’iride, inoltre forzare l’aria nelle orecchie potrebbe causare un la rottura del timpano o una semplice lesione che potrebbe causare vertigini o perdita dell’udito, indebolire un vaso sanguigno nel cervello e causarne la rottura a causa dell’elevazione momentanea della pressione sanguigna.

“Il rischio di un infortunio è basso ma potresti essere sfortunato”, ha aggiunto Wild.

Bisogna inoltre stare attenti a non starnutire violentemente: uno starnuto violento potrebbe infatti causare un infortunio al collo a causa di un’improvvisa estensione oppure causare incontinenza momentanea.

Ti potrebbe interessare
Salute / Giornata Mondiale dell’Udito: Amplifon dà il via a iniziative di informazione e prevenzione sulla salute uditiva
Salute / Macchie bianche sulle unghie, quando preoccuparsi e quali sono le cause principali
Interviste / M-Score Bone Health, la startup italiana che sta rivoluzionando la salute ossea
Ti potrebbe interessare
Salute / Giornata Mondiale dell’Udito: Amplifon dà il via a iniziative di informazione e prevenzione sulla salute uditiva
Salute / Macchie bianche sulle unghie, quando preoccuparsi e quali sono le cause principali
Interviste / M-Score Bone Health, la startup italiana che sta rivoluzionando la salute ossea
Salute / Vitamina C in integratore: quali forme esistono e quale scegliere
Interviste / L’evoluzione della proctologia rigenerativa nella esperienza trentennale del Dottor Marco Cosimi
Salute / Dimagrire velocemente, sgonfiare e rassodare: sono queste le 10 regole da seguire
Salute / Non sono 10.000: ecco il numero preciso di passi al giorno per dimagrire
Salute / Per la prima volta in Italia la depressione viene curata con pasticche psichedeliche
Salute / Gruppo FS e Ospedale pediatrico Bambino Gesù: il viaggio della cura inizia con l’accoglienza
Salute / La lebbra torna anche in Europa: confermati due casi in Romania e un altro in Croazia