Un cono giocattolo inalato da un uomo 40 anni fa ha creato un caso medico senza precedenti
A un uomo di Preston di 47 anni era stato diagnosticato un cancro per una massa presente nei polmoni. Solo dopo la broncoscopia i medici si sono accorti che si trattava di un giocattolo di plastica
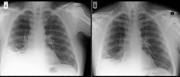
Un cono giocattolo è stato trovato nel polmone di un uomo di 47 anni di Preston, nel Regno Unito.
L’uomo si era recato in ospedale in seguito a una crisi respiratoria. Il paziente, che in passato aveva sofferto di polmonite ed era un assiduo fumatore, aveva manifestato una forte tosse e delle secrezioni di muco giallo.
Dopo una radiografia che aveva mostrato la presenza di una massa in un polmone, i medici avevano diagnosticato all’uomo un cancro ai polmoni.
Durante la broncoscopia invece, i medici si sono accorti che nei polmoni dell’uomo era presente un cono di plastica giocattolo, che l’uomo aveva ricevuto in regalo al suo settimo compleanno. Il paziente dunque non era affatto malato di cancro.
Il cono di plastica della Playmobil, lungo circa 1 centimetro, è stato rimosso con le pinze durante la biopsia.
“A seguito dell’operazione, il paziente ha riferito che nella sua infanzia ha giocato regolarmente con questi giocattoli e talvolta ha anche ingerito alcuni pezzi”, hanno detto i medici dell’ospedale.
“L’uomo ha ricordato di aver ricevuto un set della Playmobil per il suo settimo compleanno e pensa di aver accidentalmente aspirato il cono giocattolo”.
“Mentre è un evento abbastanza comune per i bambini inalare accidentalmente piccoli oggetti, è molto raro che i sintomi si presentino dopo così tanti anni”, hanno scritto i medici sulla rivista medica British Medical Journal.
Per l’equipe medica inglese “è il primo caso in cui un corpo estraneo si trovi a livello dell’albero bronchiale e che lo stesso venga trascurato per quasi 40 anni”.
“Ciò può essere accaduto perché l’oggetto è stato aspirato in giovane età e il fisico del paziente è riuscito così ad adattarsi alla presenza di questo corpo estraneo”, ha spiegato l’equipe medica in un rapporto.
Quattro mesi dopo la rimozione del piccolo cono giocattolo, la tosse del paziente è quasi sparita e anche gli altri sintomi sono nettamente migliorati.
